Alla scoperta della tecnologia TC Cone Beam ed i suoi innumerevoli vantaggi per pazienti e medici, in campo odontoiatrico e non solo.
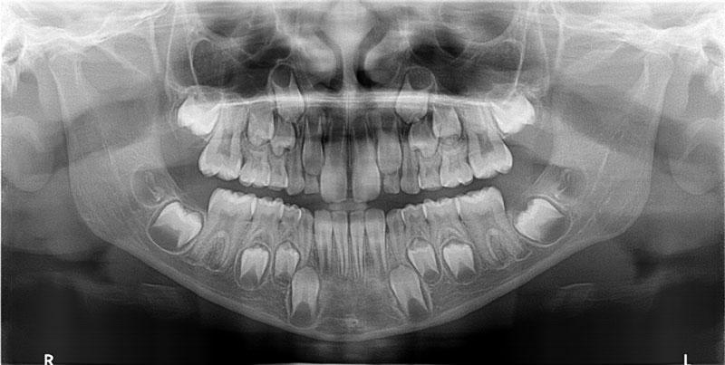
Questa immagine di seguito, mostra una immagine bidimensionale acquisita con un apparecchio tradizionale 2D.
Questa immagine di seguito, mostra immagini 3D acquisite con un apparecchio TC Cone Beam.
